Эффективные растяжки против боли поясницы
11 растяжек седалищного нерва для облегчения ишиаса, боли в бедре и пояснице Ишиас — частая причина боли в пояснице и
Read More11 растяжек седалищного нерва для облегчения ишиаса, боли в бедре и пояснице Ишиас — частая причина боли в пояснице и
Read MoreКоровяк обыкновенный (Verbascum thapsus): польза, свойства и применение Для многих коровяк — всего лишь высокое придорожное растение с мягкими, пушистыми
Read MoreТысячелистник: целебная трава с множеством полезных свойств Тысячелистник (Achillea millefolium) — многолетнее растение, известное своими целебными качествами уже на
Read MoreУтренние яйца: что на самом деле говорит наука о влиянии на организм Яйца — одни из самых изученных продуктов в
Read MoreЭуфорбия хирата: польза, рецепты и лечебные свойства Эуфорбия хирата — это растение, известное своими многочисленными целебными свойствами. В разных странах
Read MoreПольза ежедневного разжёвывания гвоздики Знаете ли вы, что регулярное употребление гвоздики может существенно улучшить ваше здоровье? Разжёвывание этой древней специи
Read MoreЭнергия и бодрость с имбирём и мёдом: натуральный рецепт с имбирём, гвоздикой и мёдом Сексуальное здоровье — важная часть общего
Read MoreНатуральное здоровье 🌿 Верните кристально ясное зрение: скрытая сила орегано для профилактики катаракты и здоровья глаз Вы когда-нибудь ловили себя
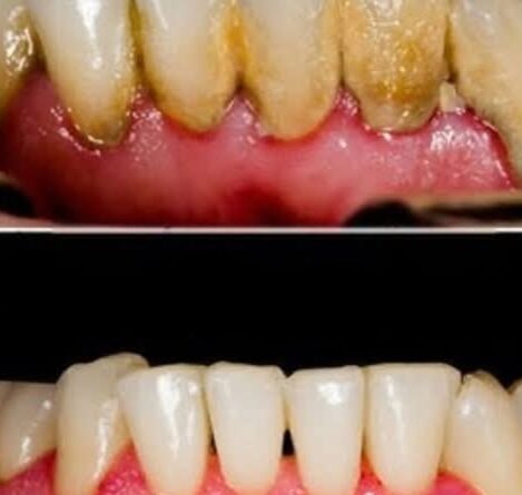
Read MoreОткройте секрет более здоровых зубов благодаря ежедневному жеванию гвоздики и другим натуральным средствам ухода за полостью рта Зубной налёт —
Read MoreВот растение с наибольшей пользой для здоровья Среди множества ароматических растений, которые растут практически повсюду, есть одно, которое веками остаётся
Read More