Натуральная защита зубов: советы каждый день
Откройте секрет более здоровых зубов благодаря ежедневному жеванию гвоздики и другим натуральным средствам ухода за полостью рта
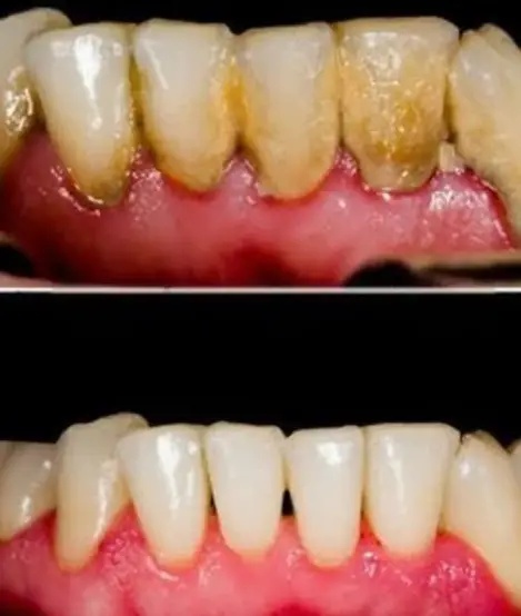
Зубной налёт — распространённая, но часто недооцениваемая проблема. Если его плохо удалять, он со временем превращается в зубной камень, способствует развитию кариеса, гингивита и других воспалений дёсен. Всё это может привести к болезненным и дорогостоящим визитам к стоматологу.
Хорошая новость: уже сейчас вы можете позаботиться о здоровье зубов дома, используя простые и натуральные средства. Ниже представлены 9 проверенных натуральных способов, которые помогают сохранить чистоту зубов и здоровье полости рта — без агрессивных химических веществ.
1. Пищевая сода
Польза:
Мягко очищает зубы
Нейтрализует кислотную среду во рту
Как использовать:
Смешайте 1 чайную ложку пищевой соды с небольшим количеством воды до образования пасты.
Чистите зубы этой смесью 2–3 раза в неделю.
2. Полоскание рта маслом (oil pulling)
Польза:
Помогает уменьшить количество бактерий
Освежает дыхание
Как делать:
Возьмите 1 столовую ложку кокосового масла, держите во рту и перекатывайте его 15–20 минут, затем выплюньте.
Процедуру выполняйте утром, до чистки зубов.
3. Белый уксус
Польза:
Обладает антибактериальным действием
Помогает предотвратить образование налёта

Рецепт:
Смешайте:
2 столовые ложки белого уксуса
1 столовую ложку мелкой соли
120 мл тёплой воды
Используйте как ополаскиватель не чаще одного раза в неделю.
4. Домашняя зубная паста с алоэ вера и глицерином
Польза:
Успокаивает дёсны
Обеспечивает натуральное очищение
Приготовление:
Смешайте:
250 мл воды
60 г пищевой соды
1 чайную ложку геля алоэ вера
10 капель эфирного масла лимона
4 чайные ложки растительного глицерина
Используйте как натуральную зубную пасту.
5. Апельсиновая кожура
Польза:
Мягко отбеливает зубы
Обладает антимикробным эффектом
Совет:
Перед сном протрите зубы внутренней стороной кожуры органического апельсина.
Оставьте на ночь, утром прополощите рот.
6. Гвоздика
Польза:
Натуральный антибактериальный эффект
Помогает успокоить чувствительные дёсны
Как использовать:
Жуйте одну гвоздику ежедневно
или нанесите каплю эфирного масла гвоздики, разбавленного оливковым маслом, на болезненные участки дёсен.
7. Листья гуавы
Польза:
Способствуют уменьшению зубного налёта
Обладают природным противовоспалительным действием
Как применять:
Жуйте свежие листья
или отварите их в горячей воде и используйте отвар как ополаскиватель для рта.
8. Сырые фрукты и овощи
Польза:
Обеспечивают естественное механическое очищение зубов
Стимулируют выработку слюны
Рекомендация:
Ежедневно съедайте яблоко, морковь или стебель сельдерея — простой жест, который помогает поддерживать чистоту зубов естественным образом.
9. Полоскание рта перекисью водорода (3 %, 10 volumes)
Польза:
Лёгкий отбеливающий эффект
Помогает уменьшить количество некоторых бактерий
Применение:
Смешайте воду и перекись водорода в равных пропорциях.
Полощите рот 30 секунд, не глотая.
Используйте не чаще одного раза в неделю.
Итог: чистая и здоровая полость рта без агрессивных средств

Эти натуральные методы не заменяют чистку зубов два раза в день и регулярные визиты к стоматологу. Однако они могут:
Помочь естественным образом снизить образование налёта
Защитить дёсны
Ограничить появление зубного камня
Поддерживать ежедневную гигиену полости рта
Важное напоминание
Перед тем как менять привычный уход за полостью рта, проконсультируйтесь со стоматологом, особенно если у вас чувствительные дёсны или имеются стоматологические проблемы.
Готовы попробовать эти простые и натуральные советы?
Ваши зубы и улыбка обязательно скажут вам спасибо! 😁🦷
Помните, что здоровье полости рта — это не только эстетика, но и ваше общее самочувствие. Натуральные средства, такие как гвоздика, листья гуавы, сырые фрукты и овощи, помогают поддерживать баланс микрофлоры рта и предотвращают воспаления, укрепляют дёсны и зубную эмаль.
💡 Совет для ежедневной привычки:
Жуйте гвоздику после еды, ешьте сырые овощи и фрукты в течение дня, а вечером используйте натуральные ополаскиватели или домашнюю зубную пасту. Постепенно это станет естественной частью вашего ухода, а результаты — более свежий запах изо рта, чистые зубы и здоровые дёсны — не заставят себя ждать.
Не забывайте: регулярное посещение стоматолога, чистка зубов дважды в день и использование зубной нити остаются основой здоровой улыбки. Все натуральные методы — это дополнение, которое усиливает эффект и делает уход безопасным и мягким.
Читайте другие, еще более красивые истории»👇
✨ Начните сегодня, и уже через несколько недель вы почувствуете разницу. Ваши зубы будут чище, дыхание свежее, а улыбка — ещё ярче!

